受医院委派,常德市第一人民医院神经外科谢小明医生近期前往澧县人民医院,开展了为期3个月的县级专科能力建设帮扶工作。经谢小明医生带教指导,澧县人民医院已能独立开展神经内镜下脑内血肿清除手术。该项新技术创伤小、恢复快,将为更多当地高血压脑出血患者带来福音。

在澧县人民医院手术室,谢小明医生进行神经内镜下脑内血肿清除手术

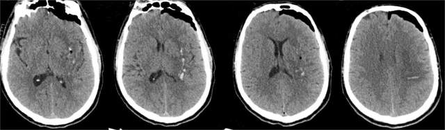
术前头颅CT显示,患者左侧基底核区脑出血

术后2小时头颅CT显示,血肿已清除
高血压性脑出血是神经外科发病率高、病死率高和致残率高的一种常见急危重疾病,手术是治疗高血压性脑出血的关键。
首例在澧县人民医院接受神经内镜下脑内血肿清除手术治疗的患者为一名50岁男性,有长期高血压病史,因“突发意识障碍伴右侧肢体偏瘫1小时”入院救治,检查确诊为左侧基底核区脑出血。在常德一医神经外科谢小明医生的指导下,澧县人民医院神经外科手术团队为患者实施了手术。手术顺利,术后复查颅脑CT血肿清除彻底,术后第1天患者神志即转清,经积极治疗后目前处于康复治疗中。
神经内镜下脑内血肿清除术不同于以往手术创伤较大的颅内血肿清除去骨瓣减压术,其手术切口小,约5厘米,颅骨上钻一直径约2厘米的骨孔,将内镜置入颅内,在内镜直视下最大限度的清除血肿,手术时间短,术中术后并发症减少到最低。避免了钻孔引流的盲目性,真正做到了微创,最小的创伤下达到最佳的治疗效果,最大限度保护了神经功能。
2023年12月28日,常德市第一人民医院与澧县人民医院签订了县级专科能力建设项目,目前已先后派出10名专家,支援澧县人民医院神经外科、神经内科和护理学科。谢小明与钟晨、袁敏、肖为4名神经外科医生先后支援澧县人民医院神经外科。
2024年7月至9月,在为期3个月的时间里,谢小明医生在澧县人民医院共主刀参与指导手术57余次,其中主刀动脉瘤开颅2台,动脉瘤介入栓塞1台,参与动脉瘤介入3台,主刀神经内镜脑出血4台,开颅脑出血2台,脑外伤15台,脑室腹腔分流2台,颅骨修补4台,以及其它钻孔手术,造影手术20余台等。除了手术,谢小明医生还参与了查房、业务学习讲课、疑难病例讨论、会诊等多项工作,帮助澧县人民医院神经外科提升了诊疗能力。常德一医神经外科作为国家临床重点专科建设项目,为常德地区的神经外科建设贡献了力量。
来源:指尖新闻
编辑:刘眉欣


