近日,常德市第四人民医院胸外科团队在微创胸外科领域取得了突破性进展,成功完成了首例胸腔镜下肺段切除术。这一里程碑式的手术不仅标志着该院在胸外科微创技术方面的重大进步,更为患者提供了一种更为精准、安全的治疗方案。
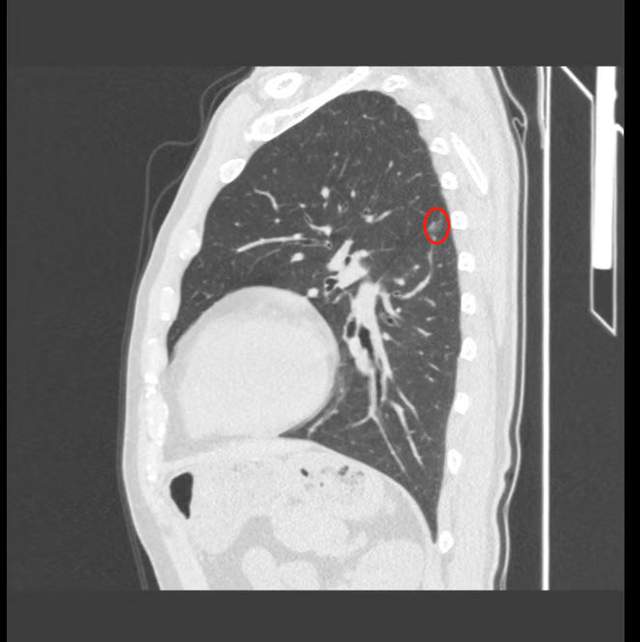
两年前,王伯伯在体检中偶然发现左下肺部存在一个结节。此后,他一直在常德市四医院肺结节门诊接受定期随访。主任医师肖炳华及其团队接诊后,对患者进行了全面细致的评估。经过近两年的观察,发现左下肺背段的部分实性结节增大至1.5cm,被判定为高风险结节。基于这一评估结果,肖炳华建议患者尽快进行手术治疗。


入院后,医疗团队利用CT三维影像重建技术,精确定位了结节所在位置——左下肺背段。在此基础上,团队进行了详尽的影像学评估和手术规划,以确保手术的精准性和安全性。

2025年2月中旬,常德市四医院胸外科医师团队成功为王伯伯实施了胸腔镜下左下肺背段a+b亚段切除术。术中,病理报告显示该结节为微浸润性腺癌,且淋巴结均未发现癌转移。整个手术过程流畅高效,出血量极少,成功达到了根治的目的。术后,患者无需进行抗肿瘤治疗。
王伯伯术后恢复情况良好,手术次日他便能够下床活动,疼痛感也相对轻微。经过一段时间的精心护理和康复,王爷爷顺利出院。他和家属对手术效果及医护团队的专业水平给予了高度评价,表示感激之情。
据悉,胸腔镜下肺段切除术是胸外科微创技术的代表之一。它不仅要求医生具备扎实的解剖学知识和娴熟的操作技巧,还需要整个医疗团队的高度默契和配合。此次手术的成功实施,充分展示了常德市四医院胸外科在微创技术领域的深厚积累和创新能力。下一步,该院心胸外科将继续深耕微创技术,不断推动微创诊疗水平的提升,为本区域人民的健康保驾护航。
来源:指尖新闻
编辑:刘眉欣


