近日,58岁的王女士因左侧腰背部持续性胀痛到常德市第四人民医院泌尿外科就诊。追溯病史发现,王女士曾有左侧输尿管镜激光碎石手术史及体外冲击波碎石术史。这次发病前4个月的外院B超提示左侧输尿管全程扩张伴左肾中度积水,但王女士未予重视,仅间断服用排石药物。
科室副主任张如钢副主任医师详细分析病情后,发现存在两大矛盾点。一是影像学矛盾:泌尿系增强CT显示左侧输尿管下段仅见3mm微小结石,但输尿管全程显著扩张、肾积水程度与结石梗阻情况严重不符;二是解剖矛盾:输尿管镜探查时发现下段距膀胱入口2cm处完全闭锁,镜体无法通过,证实存在输尿管狭窄闭锁。


由于王女士曾在10年前因宫颈癌行开放根治性子宫切除术+盆腔淋巴结清扫,术后接受过放射治疗及化疗,导致盆腔正常解剖结构严重破坏,组织纤维化粘连。且其输尿管膀胱吻合口血供脆弱,手术难度大、风险高。
针对这个情况,泌尿外科主任杨勇副主任医师主持科室全体医生进行集中讨论,最终团队制定“腹腔镜下左侧输尿管膀胱再植术”方案,该方案具有微创和精准吻合两大优势,避免传统开放手术20cm以上切口,采用3孔法操作(最大切口仅1.2cm),利用高清腹腔镜系统完成黏膜下隧道抗返流吻合,降低术后尿液返流风险。
充分完善术前准备后,在科主任杨勇副主任医师的指导下,张如钢副主任医师为王女士施行腹腔镜下左侧输尿管膀胱再植术,经过3个小时仔细松解粘连,进行狭窄段切断等操作,最终手术顺利完成。避免了开放手术的大口子,王女士在术后第一天即可下床活动,左侧腰背胀痛不适症状明显改善,术后第四天已顺利出院。



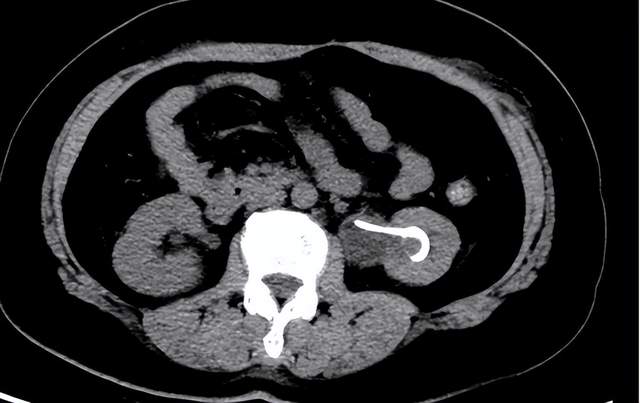
术后复查CT

术后切口恢复情况,中间为既往开放手术疤痕
此案例为具有盆腔手术史合并放射性损伤的输尿管狭窄患者提供了新型治疗思路,展现了现代泌尿外科微创技术在复杂病例中的独特价值。杨勇表示,输尿管是连接肾脏与膀胱的“生命管道”,一旦狭窄,尿液无法正常排出,可能导致肾积水、感染甚至肾功能衰竭。输尿管狭窄越早干预,肾脏受损伤程度越小,腹腔镜手术创伤小,恢复快,是目前治疗的优选方案。他提醒市民,日常生活中要多喝水、少憋尿、定期体检,若有症状,请及时咨询泌尿外科医生,科学治疗,远离肾损伤风险!
来源:指尖新闻
作者:范凯荣
编辑:易赛楠


